

Cancer du sein : pourquoi et quand se faire dépister ?
Le dépistage organisé du cancer du sein concerne les femmes de 50 à 74 ans. Mais des mesures existent aussi pour les femmes plus jeunes ne présentant pas de facteurs de risque.
L’essentiel
- Le dépistage organisé du cancer du sein concerne toutes les femmes entre 50 et 74 ans
- Le dépistage du cancer du sein a pour objectif de diminuer le nombre de décès causés par le cancer du sein.
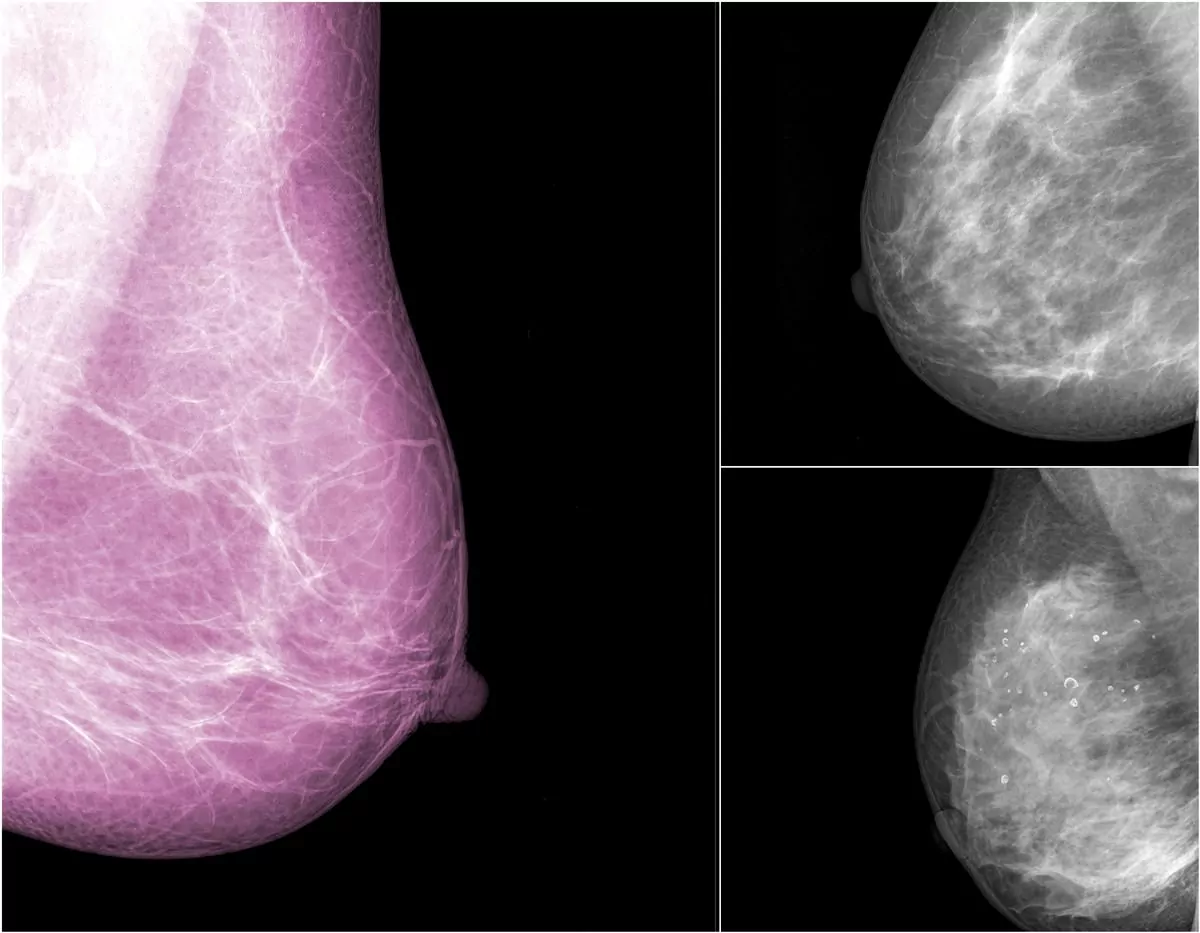
- Une mammographie est une radiographie des seins qui permet de détecter un cancer du sein
- Le dépistage organisé du cancer du sein est pris en charge par l'Assurance maladie

Quels sont les symptômes et facteurs de risque de cancer du sein ?
Le cancer du sein est le cancer féminin le plus fréquent. Le plus souvent, la maladie affecte les femmes de plus de 50 ans.
Mais elle peut aussi se déclarer plus tôt. En effet d’après la Ligue contre le Cancer, 10% des cas surviennent avant l’âge de 40 ans.
L’âge et le sexe sont les principaux facteurs de risque de cancer du sein.
99% des cas sont observés chez la femme, en raison de facteurs typiquement féminins :
- règles précoces
- ménopause tardive
- absence de grossesse
- grossesse après 35 ans
- traitements hormonaux de la ménopause
D’autres causes peuvent aussi favoriser la survenue d’un cancer, comme les antécédents familiaux ou l’hygiène de vie (alcool, tabac, manque d’activité physique, alimentation déséquilibrée).
Le cancer du sein ne cause pas toujours des symptômes visibles ni spécifiques, mais certains signes peuvent alerter. Il ne faut pas hésiter à consulter le médecin traitant ou le gynécologue si l’on constate :
- l’apparition d’une boule ou d’une grosseur dans un sein ou une aisselle
- une rougeur
- un aspect irrégulier « peau d’orange » de la peau des seins
- une rétraction au niveau du mamelon,
- une douleur ou un écoulement anormal

Une détection précoce pour favoriser la guérison
Le dépistage organisé du cancer du sein est gratuit et concerne les femmes de 50 à 74 ans sans symptômes et n’ayant pas de facteurs de risque particuliers de cancer du sein.
Il est recommandé tous les deux ans et consiste à réaliser une mammographie et à pratiquer un examen clinique des seins.
Dans le cadre du programme de dépistage organisé, une seconde lecture systématique des mammographies jugées normales est assurée par un second radiologue expert.
Les femmes ayant un risque élevé ou très élevé de cancer du sein peuvent bénéficier d’un suivi spécifique adapté à leur situation individuelle.

Depuis le 1er septembre 2016, les personnes nécessitant un dépistage spécifique peuvent bénéficier d’une prise en charge à 100 % pour les examens recommandés dans leur situation.
Se faire dépister tôt, permet de soigner plus facilement son cancer et augmente ses chances de guérison mais limite également les séquelles liées à certains traitements.
La démarche de dépistage n’est pas obligatoire et reste un choix personnel, mais elle est fortement recommandée, il est donc important de prendre connaissance des avantages et des inconvénients de cette démarche avant de décider d’y prendre part.
Consulter le site de l’INCa permett d’en savoir plus sur les avantages et inconvénients du dépistage du cancer du sein
Avant l’âge de 50 ans, il n’est pas nécessaire de faire une mammographie sauf risque élevé de cancer du sein. Mais des dispositions existent pour les femmes plus jeunes.
À partir de 25 ans, une palpation des seins est conseillée tous les ans quel que soit le niveau de risque.
Cet examen peut être effectué par un médecin généraliste, un gynécologue ou une sage-femme. Au-delà de ces précautions, il ne faut pas hésiter à consulter dès l’observation d’un symptôme anormal.



